犬の前立腺肥大について調査しました。症状や原因、種類などを載せています。予防策や食事についても触れているので、参考にしてみてください。 ご近所犬猫サミットin都内某所 ~ご主人様の手作りご飯を発表!~ 目的や症状に合わせてつくろう!犬猫におすすめの手作りごはん 愛犬 が犬の前立腺肥大 犬の前立腺肥大 前立腺肥大とは、前立腺が肥大している状態で去勢していない6歳以上のオス犬に多く見られます。 前立腺が徐々に肥大してしまうと、周りの臓器を圧迫し様々な症状を引き起こします。 膀胱と直腸が圧迫されると合併症を起こす恐れがあり、命に関わるため前立腺肥大症の治療は、症状が軽ければ、まず薬物療法を行います。薬の効果は症状が軽いうちほど高いのですが、放置したまま悪化してしまうと外科的手術が必要になる場合も少なくありません。 薬物療法 ☆α1受容体遮断薬 α1

前立腺肥大 犬 みんなのどうぶつ病気大百科
犬 前立腺肥大 症状 痛み
犬 前立腺肥大 症状 痛み-前立腺肥大症の症状は以下のようなものが挙げられます。 <前立腺肥大症の症状> ・血尿 ・しぶり ・尿が出にくい ・血便 ・排便困難 など 犬の前立腺肥大症の原因 前立腺腫瘍や前立腺炎を除き、前立腺が肥大する原因として良性前立腺過形成が挙げられます。前立腺炎 これもよく老犬には見られ、前立腺に細菌が感染して炎症を起こす病気です。 症状は初期から中期の前立腺肥大とよく似ています。 前立腺に感染が起こって膀胱に広がり、膀胱炎の症状が出ることもあります。 この病気にかかると、尿をするときに痛みが伴ったり、尿の色が濁ったり血が混じったりすることがあります。 ひどい場合には、発熱、嘔吐



犬の前立腺肥大 前立腺炎のサプリメント みつばち花粉
犬の前立腺肥大症 前立腺は、ヒトの男性と同じように膀胱の後ろに、尿道を囲むように存在し精液の成分を産生している副生殖器です。未去勢の雄犬では、9歳までに、95%もが羅患するといわれています。 原因 精巣から分泌される、雄性ホルモン(アンドロゲン)が深く関与しています犬の前立腺膿瘍の症状と原因 前立腺肥大は、 前立腺が肥大してしまい進行する事により組織内にすき間ができ、そこに体液や血液が溜まってしまう症状です。 また前立腺膿瘍とは、前立腺嚢胞からさらに状態が悪化したもので、感染症を起こして化膿して膿がたまる症状です。 · 前立腺肥大とは、前立腺が肥大している状態で去勢していない6歳以上のオス犬に多く見られます。 前立腺が徐々に肥大してしまうと、周 犬のコクシジウム症 症状子犬で発症しひどい下痢や血が混じることもあります 成犬の場合は症状が現れることはほとんどありません。 主に子犬の
前立腺肥大症との違いは? 前立腺肥大症は良性前立腺腫大に尿道閉塞、下部尿路症状が絡み合った複合的な臨床像です。 前立腺肥大症は、前立腺の病気のなかでもっとも多くみられる病気です。 この良性前立腺腫大は内腺(尿道を取り囲む部分:移行領域)で発生するため、尿道が圧迫され犬には前立腺肥大の主な3つの原因があります。 良性前立腺肥大症(bph)は前立腺肥大の最も一般的な形態であり、中和されていない雄性犬の老化過程の一部として自然に起こる。 それは去勢された犬では起こらない。 このタイプは良性の嚢胞を発症させ、周囲の組織や器官に圧力をかけることがあり、不快感や症状を引き起こします。Case34 前立腺肥大を伴った会陰ヘルニアの犬の1例 数ヶ月前から排便時に痛そうに鳴くという症状で来院された11歳の雄のダックスくんです。 肛門付近が痛いためか検温も嫌がったため鎮静下での直腸検査検査を行った所、前立腺の肥大による直腸の圧迫が起こっている事がわかりました。
· この場合の前立腺肥大は良性であり「前立腺過形成」とも呼ばれます。 犬種に関係なく去勢手術を行っていない6才以上の雄犬に多く発生しますが、若齢犬でも見られます。 また、悪性腫瘍が原因となる前立腺肥大もあります。 犬の前立腺肥大の症状 · 犬の前立腺肥大の症状 前立腺肥大を発症した症状としては、一般的には以下のようなものが言われています。 おしっこの量が減る(回数が増える・出にくくなる)前立腺肥大症犬に対するTZV906の 臨床試験結果を 表1に 示した 前立腺の変化TZV906投 与前のX線 像で測定され た前立腺の長径は46±15cmで あったが,投 与開始後 8日 には32±14cmと 縮小し,そ の縮小率は306%で あった3日 間の追加投与により前立腺サイズの


Case34 前立腺肥大を伴った会陰ヘルニアの犬の1例 つつじヶ丘動物病院 東京都調布市の動物総合病院 一般診療 循環器科 腫瘍科など



獣医が教える オス犬の前立腺肥大について いぬのきもちweb Magazine
ゲン作用をもつ犬の前立腺肥大症治療剤です.肥大した前立 腺を縮小させることにより,直腸や尿道の圧迫を解き,排尿 障害や排便障害等の臨床症状を改善します. 組成・性状 成分・含量 1錠中 酢酸オサテロン25mg 添加物この前立腺肥大ですが、人にもよく見られる病気で80歳では約9割の男性に発症します。 動物病院で診察する動物では犬以外はフェレットでも診察をすることがあります。 犬にとっても珍しい病気ではありません。 初期の症状は、顕著にわかりません。 人では残尿感がでるようですが、すべての犬が残尿感を感じるわけではありません。 他の症状としては、便が犬の前立腺肥大 尿毒症 膣の病気 脱肛(肛門脱) 水腎症 間質性腎炎 腎盂腎炎 包皮炎 膣の脱出 尿崩症(多飲多渇・多尿症候群) 乳腺炎 肛門嚢炎 尿道結石 腎不全 急性腎炎 ネフローゼ 症候群 前立腺炎 子宮蓄膿症 前立腺肥大 膀胱炎 膀胱結石



犬が尿をしない原因 たかみや通り動物クリニック



獣医師監修 犬の前立腺肥大とは 病気の原因や治療法 予防法などを解説 Docdog ドックドッグ
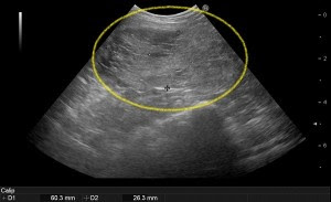
犬の前立腺肥大症に対する酢酸クロルマジノンの治療効果 小嶋佳彦1)川 上静夫2)紫 野正雄2) 1) 小島動物病院(〒956新 津市秋葉) 2) 麻布大学獣医学部(〒229相 模原市渕野辺) (1996年10月14日 受付・1997年8月25日 受理) 要 約 犬の前立腺肥大症例に酢酸クロルマジノン(CMA)錠 剤を連続経口投与 · 犬の前立腺肥大、症状は? 初期はほとんど無症状ですが、肥大がすすむとさまざまな症状がみられるようになります。 前立腺は尿道を囲むように存在することから、尿道が圧迫され、血尿になったり排尿が困難になったりします。また、直腸の下にあるので、直腸が圧迫されることで「便の形が細くなる、平らになる」などの排便異常や便秘、排便困難といった症状前立腺肥大犬のXray 正常犬のXray 前立腺肥大犬のエコー画像 ・症状 前立腺の肥大により骨盤腔内の臓器(主に直腸や尿道)が圧迫され、排便困難や排尿困難、尿失禁を引き起こします。 ・診断 直腸内触診、レントゲン、エコー検査により肥大した前立腺を確認できます。 ・治療方法 内科


コラム そが動物病院 神奈川県平塚市千須谷 曽我獣医科医院 インフォームドコンセント 説明と同意 を重視した丁寧な診療を心掛けています アニコム保険対応 マイクロチップ実施病院


Case34 前立腺肥大を伴った会陰ヘルニアの犬の1例 つつじヶ丘動物病院 東京都調布市の動物総合病院 一般診療 循環器科 腫瘍科など
前立腺肥大症の症状は? 排尿に関する症状が代表的 前立腺肥大症では尿路症状、つまり尿に関するさまざまな症状が現れます。代表的な症状は下記のとおりです。 <前立腺肥大症の主な症状> 残尿感排尿後、まだ尿が残っているように感じる



排尿障害 何度もトイレにいく オシッコの姿勢をするけど出ない などは病気のサインです 大和市の花岡動物病院ブログ



心臓肥大と前立腺肥大を持つ高齢犬



前立腺肥大症通信 No 4



犬がおしっこをしない原因とは 病院に連れて行くべき症状を獣医が解説 ペット保険の Ps保険 少額短期保険ペットメディカルサポート株式会社



犬の前立腺炎について 犬の病気 症状の原因と飼い主ができること Eparkペットライフ



犬の前立腺肥大 過形成 9歳以上の未去勢犬はほとんどが前立腺肥大を起こしています 大和市の花岡動物病院ブログ



愛犬コジロウ前立腺ガンと戦う 犬 手術 ガン


男の子の病気について 綾部動物病院


むーすけ 前立腺嚢胞でした 岡山 保護犬日記



獣医師監修 犬の前立腺肥大とは 原因や症状 治療法や予防法などを解説



犬の前立腺炎について 犬の病気 症状の原因と飼い主ができること Eparkペットライフ



獣医師監修 犬の前立腺肥大とは 病気の原因や治療法 予防法などを解説 Docdog ドックドッグ



去勢したオス犬でも前立腺肥大に コジロウ 薬で症状を抑えたい キャバリアコジロウがゆく



犬の前立腺肥大 アイリスプラザ メディア



犬の前立腺肥大の症状 治療法 ペットのいろは



去勢したにもかかわらず前立腺肥大の症状が治らない愛犬



犬の血尿は病気のサイン 考えられる原因と対処法 ペット保険ならアイペット損保 数々のno 1受賞



犬の良性前立腺肥大症 わんらぶ 愛犬の情報サイト



犬の前立腺肥大か もものブログ



オス犬の前立腺肥大 症状 原因から治療 予防法まで生殖器の病気を知る 子犬のへや


前立腺肥大 ぜんりつせんひだい オスの生殖器 犬の病気サイト 犬の病気 症状 健康の教科書



獣医師監修 犬の前立腺肥大とは 病気の原因や治療法 予防法などを解説 Docdog ドックドッグ



前立腺肥大 人気記事 一般 アメーバブログ アメブロ



犬の前立腺がんについて 症状や原因 治療と予防法 わんちゃんホンポ



犬の前立腺肥大 春日井の動物病院 神領ビーイング動物病院



犬の前立腺がんについて 犬とキャンプ



前立腺炎 ペット保険のfpc



良性前立腺過形成 前立腺肥大症 について 淀川中央動物病院



犬の前立腺肥大について 犬の病気 症状の原因と飼い主ができること Eparkペットライフ



前立腺肥大 犬 みんなのどうぶつ病気大百科



犬のよくある病気 秋田市のおぎわらペットクリニック秋田



犬の前立腺肥大の原因 症状 去勢後 薬 治療方法



獣医師監修 犬の尿が出ない この症状から考えられる原因や病気は Hotto ホット


前立腺炎 ぜんりつせんえん オスの生殖器 犬の病気サイト 犬の病気 症状 健康の教科書



なんてこったぁ とらじのブログ



獣医師監修 犬の前立腺癌ってどんな病気 症状 原因 治療法 予防法まとめ Docdog ドックドッグ



犬の前立腺肥大 症状と原因 去勢手術や薬などの治療法から予防法まで わんちゃんホンポ



犬にも前立腺肥大症がある その症状や治療法とは 愛犬の病気や悩みにわんこノート



犬の便秘は病気の可能性も 予防法をご紹介 犬との暮らし大百科


平成動物病院 春日井市二子町 名古屋市北部



犬の病気 ウィン動物病院 大阪府池田市



獣医が教える オス犬の前立腺肥大について いぬのきもちweb Magazine



獣医師監修 犬の前立腺炎とは 原因から症状 治療法まで解説



犬の前立腺肥大 前立腺炎のサプリメント みつばち花粉



獣医師監修 犬の血尿の原因とは 考えられる病気と対処法 病院に行くべき症状などについて解説 Illness 病気 わんクォール


前立腺肥大 犬猫など病気の原因 治療法


前立腺腫瘍 ぜんりつせんしゅよう 癌 腫瘍 犬の病気サイト 犬の病気 症状 健康の教科書



前立腺肥大 犬 みんなのどうぶつ病気大百科



犬の便秘の原因とは 病院に連れて行くべき症状を獣医が解説 ペット保険の Ps保険 少額短期保険ペットメディカルサポート株式会社


前立腺疾患 前立腺肥大 嚢胞 前立腺炎 前立腺膿瘍 エリー動物病院 岐阜県中津川市 夜間救急 日曜祝日診療可 腫瘍科



獣医師監修 犬が便秘になった この症状から考えられる原因や病気は Hotto ホット



高齢犬との暮らし やぐら動物病院 和歌山


Case34 前立腺肥大を伴った会陰ヘルニアの犬の1例 つつじヶ丘動物病院 東京都調布市の動物総合病院 一般診療 循環器科 腫瘍科など



オス犬の前立腺肥大 症状 原因から治療 予防法まで生殖器の病気を知る 子犬のへや



前立腺肥大の原因と症状 トイプードル 老犬ジョニーくんの日記



犬の前立腺肥大 原因と症状 治療 対処法 手術費用は Pepy



血尿がでる 犬の前立腺癌の外科治療 静岡県浜松市中区にある動物病院


犬の前立腺肥大症 平成動物病院 春日井市二子町 名古屋市北部



耳血腫 中耳炎 外耳炎治療 24時間救急医療 専門医療動物病院 アニマルメディカルセンター



犬の前立腺がんについて 症状や原因 治療と予防法 わんちゃんホンポ



オス犬は要注意 犬の 前立腺肥大症 について わんちゃんとネコちゃんのための健康ブログ



病気の話 第1回目だて動物病院 岡山県総社市にある動物病院



犬の前立腺肥大 過形成 9歳以上の未去勢犬はほとんどが前立腺肥大を起こしています 大和市の花岡動物病院ブログ



獣医師監修 犬の尿が出ない この症状から考えられる原因や病気は Hotto ホット



犬の前立腺肥大 過形成 9歳以上の未去勢犬はほとんどが前立腺肥大を起こしています 大和市の花岡動物病院ブログ


前立腺肥大症の症状 診断 治療について 守口敬仁会病院


あいの動物病院治療成績2



犬がおしっこをしない原因とは 病院に連れて行くべき症状を獣医が解説 ペット保険の Ps保険 少額短期保険ペットメディカルサポート株式会社


犬の前立腺肥大症 平成動物病院 春日井市二子町 名古屋市北部



最良かつ最も包括的な 犬 前立腺 腫瘍 すべての動物の絵


獣医師 須崎の ペットに手作り食 病気 前立腺肥大 腫瘍 がん



前立腺肥大 4歳で去勢手術した犬の性格と生活の変化 ヨシキリ



尿道炎的原因 尿道炎尿液 尿道炎严重 尿道炎



犬の前立腺肥大 過形成 9歳以上の未去勢犬はほとんどが前立腺肥大を起こしています 大和市の花岡動物病院ブログ



犬の前立腺肥大 原因と症状 治療 対処法 手術費用は Pepy


Http Www Petloha Com Wp Content Uploads 16 08 16 Ipet S Zn Pdf



犬の前立腺肥大 過形成 9歳以上の未去勢犬はほとんどが前立腺肥大を起こしています 大和市の花岡動物病院ブログ



犬によくある病気の種類について ひまわり動物病院


犬の前立腺肥大症 平成動物病院 春日井市二子町 名古屋市北部



獣医が教える オス犬の前立腺肥大について いぬのきもちweb Magazine



犬の前立腺肥大とは 食事で予防するには



犬の前立腺肥大 症状と原因 去勢手術や薬などの治療法から予防法まで わんちゃんホンポ


和泉市で犬の病気 症状についてのご相談なら 和泉動物病院へ



獣医師監修 犬の前立腺肥大とは 原因や症状 治療法や予防法などを解説



前立腺肥大症について 博多犬猫医療センター



ハート動物病院ダイアリー 犬の前立腺の病気



犬の前立腺肥大 前立腺炎のサプリメント みつばち花粉



ペット用スロープ 小型犬 中型犬 大型犬 在庫有り 出荷 ペット用品 Gen7pets ナチュラル ステップ ペットスロープ 車 ドッグ カー For 滑らない ミニバン Ramp 折りたたみ Step Natural Vehicles Suv Dog スロープ 軽量 芝生付き



獣医が教える オス犬の前立腺肥大について いぬのきもちweb Magazine



獣医師監修 犬の前立腺癌ってどんな病気 症状 原因 治療法 予防法まとめ Docdog ドックドッグ


手術症例 犬 前立腺肥大 モリヤ動物病院 町田市 大和市つきみ野



血尿がでる 犬の前立腺癌の外科治療 静岡県浜松市中区にある動物病院



獣医師監修 犬の前立腺肥大とは 病気の原因や治療法 予防法などを解説 Docdog ドックドッグ



犬の前立腺肥大 過形成 9歳以上の未去勢犬はほとんどが前立腺肥大を起こしています 大和市の花岡動物病院ブログ
0 件のコメント:
コメントを投稿